Mostrando entradas con la etiqueta Historias. Mostrar todas las entradas
Mostrando entradas con la etiqueta Historias. Mostrar todas las entradas
martes, 22 de octubre de 2019
un cine de verano en el desierto del sinaí
Ubicado en algún lugar del desierto del Sinaí, Egipto, se encuentra este cine al aire libre abandonado a su suerte. Fue construido por el francés Diynn Eadel a finales de la década de 1990, pero sufrió un corte de energía en lo que se suponía que sería su estreno nocturno. Nadie sabe qué salió mal, pero algunos dicen que las autoridades locales no estaban entusiasmadas con la perspectiva de una sala de cine en medio del desierto y fueron las responsables del mal funcionamiento del generador.
La primera película que se suponía que proyectaría era "Jurassic Park", pero el cine nunca pudo proyectar una sola película. El cine ha sido cerrado al turismo por el gobierno egipcio.
miércoles, 14 de agosto de 2019
max aub en "sierra de teruel"
Malraux publicó la novela "L'Espoir", por entregas, a partir del 3 de noviembre de 1937 en "Le soir", el diario dirigido por Louis Aragon, y salió a la venta en librerías el 18 de diciembre. Y enseguida pergeñó un primer tratamiento de la película -para la que barajaba distintos títulos como "Espoir", "Los campesinos", "Sangre de izquierda" (como una de las secciones de la la segunda parte de la novela), "Sierra de Teruel"...- cuya parte final se basa en los episodios del campo de aviación clandestino y el recate de la tripulación del avión estrellado en la montaña, enhebrados en el tercer segmento de la tercera y última parte de la novela. Toda la acción anterior puede considerarse original aunque eche mano de situaciones, imágenes o diálogos de la novela.
![]() |
André Malraux, a la izda., con Max Aub durante el rodaje .
|
Entre enero y mayo del 38 escribió un guión más detallado y preciso en colaboración con Denis Marion y Boris Peskine, que formateaban las ideas y notas del escritor. Para producir la película, Malraux se instala en Barcelona. Jacques Prévert le recomienda a Louis Page, con el prestigio de manejarse con pericia en condiciones de trabajo imposibles, como director de fotografía, en equipo con los operadores André Thomas y Manuel Berenguer; para los decorados cuenta con el escenógrafo valenciano Vicente Petit.
![]() |
| Max Aub y André Malraux durante el rodaje. |
Pero sobre todo Malraux cuenta con un colaborador de excepción, Max Aub, que traduce el guión con ayuda de la gallega Mª Luz Morales, crítica de cine de La Vanguardia y una de las secretarias de Malraux durante la producción de Sierra de Teruel con Elvira Farreras y Marta Santaolalla. Las tareas de Max Aub desbordaban las funciones de un ayudante de dirección convencional, era un verdadero faz-tudo: garantizaba la coordinación con las autoridades, arengaba al equipo y mantenía alta la moral, se ocupaba de las audiciones, buscaba localizaciones, elegía figurantes, viajaba de Barcelona a Toulouse llevando material rodado y trayendo de vuelta película virgen, reescribía el guión con Malraux y Denis Marion (que ejerce también como ayudante de dirección) para adaptarlo a las precarias condiciones en que se desarrollaba el rodaje, retocaba y escribía diálogos a pie de obra... Denis Marion describió la escritura del guión como una improvisación perpetua en medio de dificultades innumerables y aseguró que Max Aub fue el doble español de Malraux, su intérprete y brazo ejecutor. Fue mucho más: el corazón de "Sierra de Teruel".
"Sierra de Teruel" se rodó entre los primeros días de agosto de 1938 hasta finales de enero de 1939, en los estudios Orphea Film y en diversos lugares de Barcelona y Cataluña (Cervera, Collbató, Montserrat...), y tuvo que acabarse en los estudios Joinville, en París, y en Villafranche de Rouergue. Para hacerse una idea de las condiciones de extrema gravedad que rodearon la producción bastará apuntar que se desarrolló mientras se libraba la batalla del Ebro y hubo que suspender el rodaje en Barcelona y trasladarla a Francia cuando las tropas franquistas entraban en la ciudad.
Durante el rodaje, el Malraux cineasta comprobó que la realidad le resultaba mucho menos maleable que al Malraux novelista, pero jamás se desanimaba (además tenía a mano un arsenal de coraje y determinación en Max Aub), todo lo contrario, su imaginación se encendía a fuerza de contrariedades y limitaciones: la República no podía prescindir de unos carros de combate previstos en el guión, averías, cortes de corriente, bombardeos que dañan los estudios, escasez de gasolina para los transportes, armar una carlinga con restos de aviones...
La escuela de los domingos
La escuela de los domingos
miércoles, 3 de julio de 2019
el falso joven (1937)

Parte 1
Al igual que muchas baladas, la "caza joven" se fragmentó a lo largo de los años y se fue alejando cada vez más de la historia original. En el siglo XIX, tanto en Escocia como en la América de los Apalaches (donde los colonos británicos habían llevado consigo sus baladas), el largo y sangriento relato que había contado se había dividido en una serie de versos más impresionistas, que se transformaron, entre otras cosas, en "El Joven falso ”. Todavía hay muchas variaciones líricas en "El hombre joven falso" (también a veces llamado "El amor verdadero falso" y "Pájaro en una jaula"). A veces la canción se canta desde la perspectiva de un observador que ve a los dos amantes reunirse y conversar, y otras veces desde la perspectiva de la amante abandonada, que ya no es una asesina sino simplemente un alma que sufre, que clama contra la falta de confianza de los hombres. en general:
Nunca creeré lo que otro hombre dice:
si su cabello es amarillo, negro o marrón,
a menos que esté en un árbol de horca
jurando que le gustaría bajar.
En la versión de Boggs, los roles de género tradicionales se invierten. Aquí es un hombre que lamenta la falta de fe de una mujer. (La canción realmente debería llamarse "La mujer joven falsa"). Pero todo deja de tener importancia cuando escuchas la voz de Boggs. Él canta la melodía con una vulnerabilidad de corazón roto que es a la vez hermosa y conmovedora.
lunes, 20 de mayo de 2019
la bañera de hitler
Lee Miller en el centro de la bañera de la residencia de Hitler, en un paisaje de azulejos, se frota la espalda con la esponja, los ojos nos lanzan a una sorprendida Venus diminuta que muestra sus pechos. En el suelo, las botas toscas y negras, manchadas de barro, propias de una mujer que viene siempre de la guerra, ya sea la que explota en el mundo o la que libra consigo misma. La foto es de su compañero David E. Scherman, la puesta en escena de Lee, con 38 años.
Elizabeth Lee Miller (1907-1977), ha dejado de ser un dulce objeto de deseo, modelo exitosa en Nueva York y modelo y musa de artistas surrealistas en París, para convertirse en una fotoperiodista de combate, una persona increíble. Desembarcó en Normandía, caminó bajo las bombas, pisó los cadáveres de la playa de Omaha, atravesó Berlín en llamas con sus pantalones y su chupa de cuero. El 29 de abril de 1945, caminó por las puertas de Dachau, liberada por las fuerzas estadounidenses. Profundamente impactada, fotografió la evidencia del exterminio de los judíos por parte de los nazis y otros enemigos del Tercer Reich. Las imágenes son crudas y repugnantes, y no han perdido ninguno de sus impactos emocionales. Más tarde, acompañó a las IG en Múnich, donde descubrieron el apartamento de Hitler. Allí se fotografió desnuda en el baño de Hitler. Es una imagen sorprendente, inquietante. Creo que ella estaba metiendo dos dedos en la herida de Hitler, dice su hijo Antony Penrose. En el piso están sus botas, cubiertas con la suciedad de Dachau, que ha pisado por todo el piso del baño de Hitler. Ella está diciendo que ella ha vencido. Pero lo que no sabía era que unas horas más tarde, en Berlín, Hitler y Eva Braun se matarían en su búnker .
Cuentan que cuando volvió a París, ya liberado, estaba tan cubierta de barro que ni su colega Picasso la reconoció. En su vida posterior Miller sufrió de trastorno de estrés postraumático que la llevó al alcohol y al maltrato a su hijo. La guerra le había pasado factura. Las últimas imágenes que se tienen de Miller es en la cocina, preparando una tarta, con su marido, estampa convencional, pacífica, monógama. Según cuentan, su mente imparable siguió fluyendo, incluso en la cárcel doméstica: igual cocinaba un pescado azul homenajeando a Miró -con un retrete en la cabeza- que lavaba las espinacas en la lavadora. Nunca dejó de ser surrealista.
Cuentan que cuando volvió a París, ya liberado, estaba tan cubierta de barro que ni su colega Picasso la reconoció. En su vida posterior Miller sufrió de trastorno de estrés postraumático que la llevó al alcohol y al maltrato a su hijo. La guerra le había pasado factura. Las últimas imágenes que se tienen de Miller es en la cocina, preparando una tarta, con su marido, estampa convencional, pacífica, monógama. Según cuentan, su mente imparable siguió fluyendo, incluso en la cárcel doméstica: igual cocinaba un pescado azul homenajeando a Miró -con un retrete en la cabeza- que lavaba las espinacas en la lavadora. Nunca dejó de ser surrealista.
Ya fallecida Lee, Suzanna, la mujer de su hijo Antony, se topó por casualidad con su obra perdida, en el desván de Farm House. Unas 60.000 fotografías de la Segunda Guerra Mundial, diarios, cartas personales, souvenirs y cámaras de fotos antiguas. Paradógicamente, el hijo maltratado que no quería saber nada de su madre -no sabía ni que había sido reportera de guerra-, desgranó su biografía nada convencional y dio a conocer la parte escondida de su obra.
Archivos de Lee Miller
Archivos de Lee Miller
Etiquetas:
Artistas,
Favoritos,
Fotógrafos,
Historias
martes, 2 de abril de 2019
músicos bolañegos hospedados en mestanza
En una de las salidas de la Banda Municipal de Bolaños al pueblo de Mestanza, cuando llegaron al pueblo, de madrugada, lo primero que hicieron fue tocar diana. La banda fue acompañada en su recorrido por el alguacil, el cual, por lo bajo, no dejaba de decir: "¡Ay de los dos, ay de los dos...!" En un momento dado, y picado por la curiosidad, uno de los músicos preguntó por el motivo de ese repetido comentario. El alguacil lo aclaró: dos de los músicos tendrían que hospedarse en casa del enterrador, pues entregaba o recibía. La cosa se tomó a broma. Nunca antes había ocurrido lo de tal alojamiento. En fin, el reparto ya decidiría en su momento.
Cuando el alguacil dijo que dos se iban con él a su casa, dos de los músicos más benjamines se adelantaron a decir que ellos, dejando así la casa del enterrador para otros. Pero ocurrió que el alguacil era también el enterrador. De esto se enteraron una vez instalados en la casa, por lo que pusieron el grito en el cielo. Uno de ellos, aunque no de muy buena gana, aceptó quedarse, pero el otro se negó en rotundo, y le tuvieron que preparar otro alojamiento.
Bernardo Rubio López en Historia de un director de banda de música de pueblo, que ejerció durante 50 años consecutivos, Editado por Víctor Sancho, 2017
En la foto, tres músicos bolañegos hospedados en una casa de Mestanza: Blas (músico que sustituyó a Don Víctor en la dirección), Jesús y Antonio con 9, 11 y 9 años respectivamente. La foto es del archivo personal de Jesús Ramírez. La Banda Municipal de Bolaños participaba asiduamente en el Voto y en las Fiestas de San Panta de Mestanza. Los hermanos que entregaban o recibían insignias hospedaban a los músicos, dándoles cama y comida.
Etiquetas:
Historias,
Líbros,
Mestanza,
MiBiblioteca
sábado, 16 de marzo de 2019
la banda de los paulinos en solana del pino
Durante la cena, Josico les dijo a los de su banda:
-Tengo la pista de donde guarda el dinero Cipriano.
-¿Ese no es tu amo?, dijo Calixto.
-Si, y ¿aquién se le ha soltado la lengua si darse cuenta?
-Yo ya lo sé de tiempo atrás, pero ayer vendió una partida importante de ganado, mientras nosotros estábamos sacando la basura del aprisco de las ovejas. Hace algún tiempo, mi compañero Juan me dijo que su esposa Engracia bajaba todas las semanas a lavar las ropas a doña Dolores, la señora de la casa. Yo tomé nota y un día le bajé un pan y dos conejos para que los cocinara. Le dije: toma, ponlos para comerlos a medio día, con el poco sueldo que cobramos tendremos que conformarnos con lo que cojamos en el campo.
-Sí. ya ves, yo que le hago sábado en toda la casa, con lo grande que es y el mucho trabajo que me da. Aparte de lavarle la ropa, la señora Dolores cuando me paga me quita un real del jornal, y me dice que las mujeres debemos ganar menos que nuestro marido.
-A lo mejor no tiene dinero para pagarte.
-Claro que lo tiene.
-¿Lo has visto tú?
- No, pero lo sospecho, porque cuando tiendo la ropa en el corralón nunca me deja sola, y ¿sabes dónde no quiere que pase nunca?, a la cuadra. Me dice que teme que me de una coz el caballo del señorito. Pero un día que pasé vi a Cipriano muy ocupado en el pesebre, y echó paja encima. Yo sospecho que guardó algo allí.
-No seas mal pensada, estaría poniendo la piedra de sal a su caballo.
Solana del Pino es una pequeña población donde sus habitantes, en su mayoría, ejercen las labores del campo y el pastoreo. Cuando terminan la jornada, varios de ellos se quedan a dormir en las fincas para atender las necesidades de las caballerías y el ganado, y solo bajan al pueblo los fines de semana. Cuando anochece, nadie sale de la casa, a no ser por extrema necesidad, llevando en la mano un farol con una lámpara de aceite para alumbrarse, ya que las poblaciones se encuentran sumidas en la más absoluta oscuridad durante las noches.
En los pueblos pequeños no existe vigilancia, porque la milicia gubernativa está acantonada en Puertollano. Si se denuncia un hecho, es cuando se desplazan con los pocos medios de que disponen. Al no existir la banca, los bandoleros lo tenían fácil, solo necesitaban arrojo y valor, y guardarse de la milicia, porque en los casos graves, si los capturan, les aplicaban la pena capital.
Al día siguiente cuando dejaron sus trabajos que les servían de tapadera, se reunieron en un sitio acordado para ganar tiempo para hacer la sustracción. Llegaron al pueblo bien entrada la noche, sus calles estaban desiertas. Josico los llevó frente a un corralón, colocó su caballo junto a la pared de tapial y ató una cuerda a la silla de montar. Dio un brinco y, ya arriba, se dejó caer. Una vez dentro, abrió el cerrojo de la puerta para que pasaran sus compañeros "el Caza" y "el Letrado". "El Ayudante" se quedó vigilando, mientras "Quintín" se cuidaba de los caballos.
Los tres hombres pasaron a una cuadra, el Letrado alumbraba con una vela mientras Josico apartaba la paja del pesebre. Debajo apareció una losa de piedra que levantaron con ayuda de los machetes. Debajo de un manto de arena, aparecieron dos bolsas repletas de monedas. Aprisa las recogieron y, en un descuido, se les cayó la vela en lo alto de la paja, que prendió, viéndose obligados a pisotearla para apagarla. El caballo de Cipriano se asustó y se puso inquieto. Sin detenerse, salieron a toda prisa con el dinero, por si alguien hubiera oído el ruido. Ya fuera, subieron a los caballos y salieron a toda prisa a su refugio de Sierra Morena, donde se cambiaron de ropa para convertirse de nuevo en sirvientes asalariados de sus patronos.
Cipriano se levantó temprano y, cuando fue a la cuadra a darle pienso a su caballo, descubrió el robo de su dinero. Salió a la calle y preguntó a sus vecinos; pero nadie vio nada. Solo uno de ellos oyó, sobre la media noche, el paso de unos caballos por la calle, pero no le dio mayor importancia y siguió acostado.
Montó su caballo y fue a poner una denuncia al destacamento de la milicia. Lo recibió el comandante de puesto Don Aurelio de Guzmán. Después de oír su declaración, puso a sus hombres en acción para que buscaran por todos los rincones. Josico acudió a su hora al trabajo. El día transcurrió tranquilo. Por la noche, los bandoleros contaron el dinero. Quinientos escudos de oro, lo equivalente a cinco mil reales de plata. Una vez repartido, lo dejaron nuevamente en su escondite.
Al día siguiente, llegó al cortijo un sargento llamado David, acompañado de un número de la milicia, para hacerles unas preguntas a los sirvientes, en especial a Engracia; pero ante la sincera respuesta que les dio, los dejaron en paz y se marcharon.
Tras unas semanas sin resultados, la milicia abandonó la búsqueda, regresando a su acuartelamiento de Puertollano. Al poco tiempo, nadie hablaba del robo de la casa de Cipriano.
Agustín Sobrino Aranda en Vida de Josico. Ayuntamiento de Bolaños 2018
En 1837, después de unirse a los liberales tras los asesinatos de Palillos en Bolaños y vivir el desastre de la batalla de Ciudad Real, José Antonio Ayllón González Josico y sus hombres desertan y huyen a Sierra Morena, donde se dedican al robo. Entonces tenía unos 17 años. Curiosamente, este mismo hombre, ya indultado por la reina, fue Administrador Mayor del Valle de Alcudia. A su retirada, Isabel II pidió una condecoración para él.
-Tengo la pista de donde guarda el dinero Cipriano.
-¿Ese no es tu amo?, dijo Calixto.
-Si, y ¿aquién se le ha soltado la lengua si darse cuenta?
-Yo ya lo sé de tiempo atrás, pero ayer vendió una partida importante de ganado, mientras nosotros estábamos sacando la basura del aprisco de las ovejas. Hace algún tiempo, mi compañero Juan me dijo que su esposa Engracia bajaba todas las semanas a lavar las ropas a doña Dolores, la señora de la casa. Yo tomé nota y un día le bajé un pan y dos conejos para que los cocinara. Le dije: toma, ponlos para comerlos a medio día, con el poco sueldo que cobramos tendremos que conformarnos con lo que cojamos en el campo.
-Sí. ya ves, yo que le hago sábado en toda la casa, con lo grande que es y el mucho trabajo que me da. Aparte de lavarle la ropa, la señora Dolores cuando me paga me quita un real del jornal, y me dice que las mujeres debemos ganar menos que nuestro marido.
-A lo mejor no tiene dinero para pagarte.
-Claro que lo tiene.
-¿Lo has visto tú?
- No, pero lo sospecho, porque cuando tiendo la ropa en el corralón nunca me deja sola, y ¿sabes dónde no quiere que pase nunca?, a la cuadra. Me dice que teme que me de una coz el caballo del señorito. Pero un día que pasé vi a Cipriano muy ocupado en el pesebre, y echó paja encima. Yo sospecho que guardó algo allí.
-No seas mal pensada, estaría poniendo la piedra de sal a su caballo.
Solana del Pino es una pequeña población donde sus habitantes, en su mayoría, ejercen las labores del campo y el pastoreo. Cuando terminan la jornada, varios de ellos se quedan a dormir en las fincas para atender las necesidades de las caballerías y el ganado, y solo bajan al pueblo los fines de semana. Cuando anochece, nadie sale de la casa, a no ser por extrema necesidad, llevando en la mano un farol con una lámpara de aceite para alumbrarse, ya que las poblaciones se encuentran sumidas en la más absoluta oscuridad durante las noches.
En los pueblos pequeños no existe vigilancia, porque la milicia gubernativa está acantonada en Puertollano. Si se denuncia un hecho, es cuando se desplazan con los pocos medios de que disponen. Al no existir la banca, los bandoleros lo tenían fácil, solo necesitaban arrojo y valor, y guardarse de la milicia, porque en los casos graves, si los capturan, les aplicaban la pena capital.
Al día siguiente cuando dejaron sus trabajos que les servían de tapadera, se reunieron en un sitio acordado para ganar tiempo para hacer la sustracción. Llegaron al pueblo bien entrada la noche, sus calles estaban desiertas. Josico los llevó frente a un corralón, colocó su caballo junto a la pared de tapial y ató una cuerda a la silla de montar. Dio un brinco y, ya arriba, se dejó caer. Una vez dentro, abrió el cerrojo de la puerta para que pasaran sus compañeros "el Caza" y "el Letrado". "El Ayudante" se quedó vigilando, mientras "Quintín" se cuidaba de los caballos.
Los tres hombres pasaron a una cuadra, el Letrado alumbraba con una vela mientras Josico apartaba la paja del pesebre. Debajo apareció una losa de piedra que levantaron con ayuda de los machetes. Debajo de un manto de arena, aparecieron dos bolsas repletas de monedas. Aprisa las recogieron y, en un descuido, se les cayó la vela en lo alto de la paja, que prendió, viéndose obligados a pisotearla para apagarla. El caballo de Cipriano se asustó y se puso inquieto. Sin detenerse, salieron a toda prisa con el dinero, por si alguien hubiera oído el ruido. Ya fuera, subieron a los caballos y salieron a toda prisa a su refugio de Sierra Morena, donde se cambiaron de ropa para convertirse de nuevo en sirvientes asalariados de sus patronos.
Cipriano se levantó temprano y, cuando fue a la cuadra a darle pienso a su caballo, descubrió el robo de su dinero. Salió a la calle y preguntó a sus vecinos; pero nadie vio nada. Solo uno de ellos oyó, sobre la media noche, el paso de unos caballos por la calle, pero no le dio mayor importancia y siguió acostado.
Montó su caballo y fue a poner una denuncia al destacamento de la milicia. Lo recibió el comandante de puesto Don Aurelio de Guzmán. Después de oír su declaración, puso a sus hombres en acción para que buscaran por todos los rincones. Josico acudió a su hora al trabajo. El día transcurrió tranquilo. Por la noche, los bandoleros contaron el dinero. Quinientos escudos de oro, lo equivalente a cinco mil reales de plata. Una vez repartido, lo dejaron nuevamente en su escondite.
Al día siguiente, llegó al cortijo un sargento llamado David, acompañado de un número de la milicia, para hacerles unas preguntas a los sirvientes, en especial a Engracia; pero ante la sincera respuesta que les dio, los dejaron en paz y se marcharon.
Tras unas semanas sin resultados, la milicia abandonó la búsqueda, regresando a su acuartelamiento de Puertollano. Al poco tiempo, nadie hablaba del robo de la casa de Cipriano.
Agustín Sobrino Aranda en Vida de Josico. Ayuntamiento de Bolaños 2018
En 1837, después de unirse a los liberales tras los asesinatos de Palillos en Bolaños y vivir el desastre de la batalla de Ciudad Real, José Antonio Ayllón González Josico y sus hombres desertan y huyen a Sierra Morena, donde se dedican al robo. Entonces tenía unos 17 años. Curiosamente, este mismo hombre, ya indultado por la reina, fue Administrador Mayor del Valle de Alcudia. A su retirada, Isabel II pidió una condecoración para él.
Etiquetas:
Historias,
Libros,
MiBiblioteca,
Reseñas,
Solana del Pino,
Valle de Alcudia
domingo, 10 de febrero de 2019
el narrador de imágenes
sábado, 2 de febrero de 2019
esther brilla en el orosia
Estoy comiendo en el bar Orosia cuando veo esa luz. Corto delicadamente esos pequeños filetes de atún rebozados de semillas negras, y su pelo de los sesenta resplandece, sus ojos, su boca, sus delgados y largos dedos con un vino de Almansa. Trato de guardarla en mi cuaderno, Aunque mantiene la conversación, sus ojos siguen los míos y mi bolígrafo rojo. En mi viaje, se cruzan. Sonríe. Le enseño la página. Se levanta. ¿Tu nombre? Esther con hache. Se acerca. Mira el dibujo, y me besa, para asombro de mi esposa.
Etiquetas:
Bares,
Ciudad Real,
Cuadernos,
Gente de,
Historias
martes, 27 de noviembre de 2018
protocómics por los suelos de hace 1600 años
Estos impresionantes mosaicos del siglo V han aparecido en los yacimientos del antiguo asentamiento judío de Huqoq, una aldea rural cercana al mar de Galilea, en el norte de Israel; excavaciones dirigidas por Jodi Magness, de la Universidad de Carolina del Norte en Chapel Hill, y con el apoyo de la National Geographic Society. Lo que fueran los suelos estelados de una antigua sinagoga tienen tal detalle que pueden distinguirse 12 especies de peces, además de un delfín y un pulpo, en la famosa escena de Jonás siendo comido por la ballena, o los distintos vestuarios o colores de piel de los constructores de la Torre de Babel.
En la primera foto vemos un medallón en la zona superior muestra a Helios, el dios grecorromano del Sol, en una cuadriga y, alrededor, los 12 signos del zodiaco. En la zona media, la historia bíblica de Jonás tragado por una ballena. Y en la zona inferior, la construcción de la Torre de Babel. Curiosamente, de Jonás solo aparecen sus piernas colgando de la boca del gran pez, que a su vez está siendo tragado por otro pez más grande y, este último, por otro aún más grande. En el panel inferior aparecen las técnicas constructivas romanas: extracción en las canteras, la carpintería y el levantamiento de piedras con un complicado artilugio de polea.
En la cuarta foto vemos representado el arca de Noé en el panel superior, rodeada de pares de animales como elefantes, leopardos, burros, serpientes, osos, leones, avestruces, camellos, ovejas y cabras. Y, en el panel del mar Rojo, aparecen los soldados del faraón y unos peces grandes que se los intentan tragar, además de carros de guerra volcados con sus respectivos caballos y sus aurigas.
Es destacable también las figuras no bíblicas como amorcillos alados, máscaras de teatro y una escena enigmática que representa el encuentro entre dos hombres, uno de los cuales sería Alejandro Magno, acompañado por sus elefantes y soldados. Esta es la primera escena no bíblica jamás descubierta en una sinagoga.
Los primeros mosaicos se descubrieron en 2012. En ellos apareció la representación de la historia de Sansón y los zorros: el héroe bíblico, comparable a Heracles o Hércules por su fuerza y hazañas, cazó 300 zorros, los ató por el rabo de dos en dos y prendió los rabos, de forma que los animales echaron a correr, quemando y arrasando los cultivos de los filisteos.
Las fotos son de Oded Balilty y Mark Thiessen, de National Geographic
domingo, 18 de noviembre de 2018
micenas y corinto
Solo ver la muralla coronando un pequeño monte, con esas piedras de formato no humano (la mitología nos dice que la construyeron los cíclopes a las órdenes de Perseo) sin argamasa, nos sobrecoge. También las tumbas de cúpula, una versión elegante y sofisticada de los dólmenes, la puerta de los leones, el círculo funerario con ese extraño anillo de losetas, el palacio con sus pasillos laberinticos, la escalera del manantial, la puerta nordeste. Es un antecedente de la acrópolis, de los santuarios, y el palacio, del templo. Digamos que las murallas solo acogían a la corte y, en una segunda fase, a los artesanos.
Al despedirme de los ciclópeos leones, encuentro al siciliano Emanuelle sentado en el suelo dibujando en un cuaderno. Intercambiamos cuadernos y me dice que irá a Madrid en diciembre. Mientras me habla lo dibujo, y también a su maestro Doménico. Aguantamos estoicamente, yo diría espartanamente, el frío. Llegamos al museo que, a pesar de que la mayoría de que los restos encontrados están en Atenas, está bastante bien; con aportaciones muy interesantes como esas extrañas sacerdotisas como vasijas y las serpientes enroscadas, encontradas en el templo, o las tablillas cerámicas escritas.

Pero aún queda un sabroso postre. Fuera del recinto del yacimiento hay otra tumba de cúpula, una perfección arquitectónica, como un dolmen fabricado al milímetro de un plano: Se trata del llamado Tesoro de Atreo. Según la leyenda, mató a sus sobrinos y los sirvió en un banquete. Los dioses lo castigaron con una maldición.sobre él y sus descendientes. Una sobrina superviviente dio un hijo a su padre, que vengó la muerte de sus tíos matando a Atreo. Pero el poder fue para el heredero de Atreo: Agamenón; que acabaría asesinado por su mujer Clitemnestra, que también tiene una hermosa tumba de cúpula. Descubierta por el arqueólogo alemán Schliemann a finales del XIX, hoy, sabemos que es la tumba del rey Agamenón, construida en torno al 1250-1220 a. C.
Muy satisfechos de no peregrinar en otro nuevo santuario clásico, que se repite en cada ciudad estado, llegamos a Corinto, evitando Argós. Corinto fue antes Éfira, y aquí fue criado Edipo antes de que acertara la famosa adivinanza de la esfinge de Tebas, matase a su padre y se casase con su madre. Aunque lo hiciera por ignorancia, el hecho llenó de argumentos a Freud para denominar esa necesidad o inclinación humana en cierta fase de la vida. Paseamos por las calles peatonales del puerto, con mucha actividad local de comercio y cafeterías. Sus edificios bajos y calles anchas le dan un aspecto abierto. La calle Kolokotroni tiene las terrazas a tope. Nos metemos en el Soul Kitchen, con gente de veinte y treinta tacos oyendo la música que pone un DJ. Siguiendo sus costumbres, nos apalancamos tras un café y su vaso de agua, y pasamos las horas sin que nadie nos moleste. Doy color a los dibujos rápidos que hice en Micenas y luego me dibujo el local. El dibujo gusta mucho al camaraca y también al dueño, que se disponen a fotografiarlo. A lo que me niego después de haberme lobeado siete pavos por dos putos cafés. Muy amigos, pero el borrico en la puerta.
Por cierto, acaba de anunciarse el descubrimiento de la ciudad de Tenea, a veinte kilómetros de aquí. Según la leyenda, Agamenón dejó construir esta ciudad a los prisioneros de la guerra de Troya. Desde 2013 solo se habían excavado tumbas, este año se ha sacado a la luz la ciudad.
miércoles, 31 de octubre de 2018
fotógrafos invisibles
Etiquetas:
Album Fotos,
Bolaños,
Fotógrafos,
Historias
miércoles, 29 de agosto de 2018
las perdices de franco
La gran afición del Generalísimo era matar perdices (llegó a disparar 6.000 cartuchos en un día), por lo que el Gobernador Civil de Ciudad Real, José Utrera Molina, fiel servidor falangista, más franquista que Franco, y suegro de Alberto Ruiz Gallardón, preparó esta cacería para que se consiguiera la gesta. Mandó recortar las alas timoneras a las perdices rojas para que no emprendieran vuelos altos y largos, y así el dictador fuera abatiendo una a una. Esta exitosa organización le reportó el mismo cargo en Burgos y Sevilla, y finalmente fue nombrado Ministro de la Vivienda con Carrero Blanco y Ministro Secretario General del Movimiento con Arias Navarro. Una gran carrera.
Él fue quien llamó, el 18 de octubre, al fotógrafo oficial culipardo Eduardo Matos Barrio para inmortalizar la gesta, en un reportaje considerado Secreto de Estado. Matos fue antes de la Guerra periodista gráfico en Barcelona y había mantenido una amistad personal con Alfonso XIII. En una hora y media pasaría a recogerlo una pareja de la Guardia Civil y le llevaría a un determinado lugar, donde haría unas fotos. El espectáculo que encontró Matos era impresionante: un gran rectángulo de perdices muertas apareadas y distribuidas en filas. Pidió una escalera de tijera para poder subirse a ella y con perspectiva tomar la instantánea, fotografiar a Franco y al resto de las escopetas, rodeado de las 4.601 perdices rojas abatidas en la Encomienda de Mudela. Cuando Matos estaba en lo alto de la escalera, el dictador bromeó con la concurrencia, siempre dispuesta a halagarle, comentando: Como se caiga el fotógrafo y se mate, lo tendremos que poner entre las perdices. Una carcajada bufonesca acompañó al chiste de mal gusto del que no hacía mucho había firmado la ejecución del comunista Julián Grimau, a pesar de la presión internacional. Arias-Salgado, primo hermano y secretario particular del Caudillo, lo cuenta en su libro Mis conversaciones privadas con Franco, editado en Planeta en 1976.
Eduardo Matos también fue premiado. Le encargaron y propusieron numerosos reportajes sobre Ciudad Real capital y provincia, El Quijote, el teatro en La Mancha en el siglo de Oro, las Ordenes Militares Españolas, temas cervantinos, arqueológicos o patrimoniales o industriales y de desarrollo. Fue colaborador fotográfico y escritor asiduo de Mundo Manchego, Diario Lanza y el Boletín de Información Municipal del Ayuntamiento de Ciudad Real, Diario Madrid, ABC, Ya, La Vanguardia. Fue designado fotógrafo oficial del Obispado-Priorato de las Ordenes Militares, así como de la Santa Iglesia Prioral Basílica Catedral de las Órdenes Militares, trabajando también para la presidencia de la Diputación Provincial, Gobierno Civil de Ciudad Real, Colegio de Abogados de Ciudad Real, Ilustre Colegio de Médicos de Ciudad Real, y Colegio de Veterinarios de Ciudad Real. En los años 1970-1971-1972, Matos fue profesor privado de fotografía de Sus Altezas Reales los Príncipes de España Don Juan Carlos y Doña Sofía. En 1985, en la festividad litúrgica del Corpus Christi celebrado en Ciudad Real, fue el único reportero autorizado para fotografiar a Su Alteza Real Don Juan de Borbón, Conde de Barcelona y Presidente del Real Consejo de las Órdenes Militares, en la solemne Misa Pontifical oficiada por el Obispo-Prior Rafael Torija, en la Catedral de las Órdenes Militares.
Los negativos del reportaje de la cacería fueron secuestrados durante décadas y devueltos a su autor en 1983. Tras impresionar los mismos, el Marqués de Huetor de Santillán, Jefe de la Casa Civil de S.E. el Jefe del Estado, acompañó al fotógrafo a Ciudad Real, hasta sus laboratorios donde en su presencia, revelaron los mismos y positivaron las copias. A Eduardo Matos solo le permitieron quedarse con una copia en positivo original, siendo incautados los negativos de gran formato. Desde aquel entonces las placas de cristal de gelatino-bromuro permanecieron en los archivos del Ministerio de Información (luego de Interior), antes de la Gobernación, hasta que, en 1986 y por mediación de Tierno Galván, entonces alcalde de Madrid, se le restituyeron a Matos, publicó en su momento el periodista Jaime Peñafiel, aunque otras versiones apuntan a que el fotógrafo se hizo con los negativos en 1983, para años después ver publicadas las fotos en un libro, ya agotado, que la Diputación de Ciudad Real había dedicado al fotógrafo (Fotografía en Ciudad Real. Eduardo Matos (1904-1995), de José González Ortiz y José López de la Franca, Biblioteca de Autores Manchegos, Diputación de Ciudad Real Ciudad Real 1998).
Él fue quien llamó, el 18 de octubre, al fotógrafo oficial culipardo Eduardo Matos Barrio para inmortalizar la gesta, en un reportaje considerado Secreto de Estado. Matos fue antes de la Guerra periodista gráfico en Barcelona y había mantenido una amistad personal con Alfonso XIII. En una hora y media pasaría a recogerlo una pareja de la Guardia Civil y le llevaría a un determinado lugar, donde haría unas fotos. El espectáculo que encontró Matos era impresionante: un gran rectángulo de perdices muertas apareadas y distribuidas en filas. Pidió una escalera de tijera para poder subirse a ella y con perspectiva tomar la instantánea, fotografiar a Franco y al resto de las escopetas, rodeado de las 4.601 perdices rojas abatidas en la Encomienda de Mudela. Cuando Matos estaba en lo alto de la escalera, el dictador bromeó con la concurrencia, siempre dispuesta a halagarle, comentando: Como se caiga el fotógrafo y se mate, lo tendremos que poner entre las perdices. Una carcajada bufonesca acompañó al chiste de mal gusto del que no hacía mucho había firmado la ejecución del comunista Julián Grimau, a pesar de la presión internacional. Arias-Salgado, primo hermano y secretario particular del Caudillo, lo cuenta en su libro Mis conversaciones privadas con Franco, editado en Planeta en 1976.
![]() |
| Autorretrato de Matos en 1959. |
Los negativos del reportaje de la cacería fueron secuestrados durante décadas y devueltos a su autor en 1983. Tras impresionar los mismos, el Marqués de Huetor de Santillán, Jefe de la Casa Civil de S.E. el Jefe del Estado, acompañó al fotógrafo a Ciudad Real, hasta sus laboratorios donde en su presencia, revelaron los mismos y positivaron las copias. A Eduardo Matos solo le permitieron quedarse con una copia en positivo original, siendo incautados los negativos de gran formato. Desde aquel entonces las placas de cristal de gelatino-bromuro permanecieron en los archivos del Ministerio de Información (luego de Interior), antes de la Gobernación, hasta que, en 1986 y por mediación de Tierno Galván, entonces alcalde de Madrid, se le restituyeron a Matos, publicó en su momento el periodista Jaime Peñafiel, aunque otras versiones apuntan a que el fotógrafo se hizo con los negativos en 1983, para años después ver publicadas las fotos en un libro, ya agotado, que la Diputación de Ciudad Real había dedicado al fotógrafo (Fotografía en Ciudad Real. Eduardo Matos (1904-1995), de José González Ortiz y José López de la Franca, Biblioteca de Autores Manchegos, Diputación de Ciudad Real Ciudad Real 1998).
Este reportaje fotográfico dio la vuelta al mundo, conmocionando a los lectores, al publicarse en el diario El Mundo en dos ediciones en 2010, una de ellas siendo portada del periódico, en dos artículos obra de Jaime Peñafiel. La noticia llevó el titular sensacionalista El día que Franco mató 4.601 perdices (aunque eran 20 escopetas las que las mataron) y se vendió como una exclusiva, cuando algunas fotos ya habían aparecido en el libro dedicado a Matos de la Diputación de Ciudad Real, del que ya hemos hablado.
El fotógrafo Falleció el 19 de noviembre de 1995, poco después de recibir el título de Ciudadano Ejemplar. Tiene un monumento en el Parque del Pilar y parte de su archivo y legado está transferido al Centro de Estudios de Castilla-La Mancha.
Etiquetas:
1959,
celtiberia,
Fotógrafos,
Historias,
MiBiblioteca
miércoles, 8 de agosto de 2018
el reloj de pulsera
El reloj de pulsera es una adaptación del reloj de bolsillo. Abraham Louis Breguet fue quien, en el año 1812, construyó el primer reloj de pulsera para Caroline, reina de Nápoles y hermana menor de Napoleón. En general, sin embargo, los relojes de bolsillo seguían predominando. No es hasta comienzos del siglo XX cuando el reloj de pulsera comienza a dominar.
Por esta época, las damas comenzaron a poner de moda, unos pequeños relojes de bolsillo llevados en la muñeca. Esta moda por el momento se limita a las mujeres, ya que los hombres siguen llevando sus relojes de bolsillo colgando de una fina cadena al estilo tradicional, lo que según la ocasión, resultaba realmente poco práctico. Un ejemplo de esto son los pilotos, quienes, por aquella época, y dado lo reducido de sus instrumentos de abordo, verdaderamente necesitaban el reloj para realizar mediciones rápidas y de gran relevancia. El pionero de la aviación brasileño Alberto Santos-Dumont pidió a su amigo y relojero parisino Louis Cartier que le fabricara un reloj que pudiera llevar en la muñeca. Cartier Santos es por tanto uno de los primeros modelos de reloj de pulsera que existieron para caballero. A lo largo de la primera guerra mundial el reloj de pulsera se impuso entre los militares y finalmente también en la sociedad civil llegándose a convertir en un estándar una vez finalizada la guerra.
El primer reloj automatico (en forma de reloj de pulsera con péndulo de inercia) fue inventado en 1923 por John Harwood. Más adelante, Rolex construyó un reloj automático con un rotor de cuerda unilateral y lo patentó. En este principio se basan los mecanismos que hoy en día encontramos en los relojes automáticos comunes.
No es hasta el año 1967 cuando el Centre Electronique Horloger en Suiza presenta el primer reloj de pulsera electrónico con una pieza diminuta de cuarzo como elemento regulador. En los años posterirores fue alcanzando cada vez más fama y ganándole terreno a la relojería mecánica.
El primer reloj automatico (en forma de reloj de pulsera con péndulo de inercia) fue inventado en 1923 por John Harwood. Más adelante, Rolex construyó un reloj automático con un rotor de cuerda unilateral y lo patentó. En este principio se basan los mecanismos que hoy en día encontramos en los relojes automáticos comunes.
No es hasta el año 1967 cuando el Centre Electronique Horloger en Suiza presenta el primer reloj de pulsera electrónico con una pieza diminuta de cuarzo como elemento regulador. En los años posterirores fue alcanzando cada vez más fama y ganándole terreno a la relojería mecánica.
viernes, 13 de julio de 2018
sobre los remolinos capilares
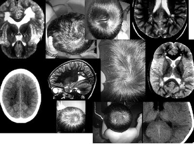
Recuerdo que de niño encontré en un libro de la biblioteca de mi abuelo Juan un capítulo dedicado a las corrientes y remolinos de nuestro pelo con gran profusión de fotografías, en blanco y negro, claro, en que unas flechas rojas indicaban la dirección de esas corrientes. Algo parecido a los mapas de isobaras que nos explican después de los telediarios. Sin embargo no recuerdo nada sobre lo que se decía sobre ello, bien porque no era dado a la lectura o simplemente porque el libro estuviera escrito en inglés, francés o alemán.
Es un tema para mí interesante y recurrentemente aparecen en mi cerebro aquellas imágenes llenas de flechas rojas sobre todo el cuerpo de individuos peludos. Varias veces he buscado en lo poco que conservo de aquella fastuosa biblioteca sin obtener resultados. Y muchas más he buscado en Internet, encontrando muchas páginas de belleza personal, donde se interpretan los remolinos cono un problema de peinado, y muy pocas de caracter científico.
Los científicos dicen que no sólo ocurre en los humanos, sino también en animales, desde la fase embrionaria. El ectodermo primitivo es el origen común del sistema nervioso, la piel y sus anejos. Las rotaciones capilares son definidas por genes que indican la dirección de crecimiento de los cabellos; ya sea para frente, para atrás o para un lado. De hecho, existen estudios sobre la correlación entre la creación de remolinos y la dirección del crecimiento del pelo y la tensión en la epidermis en el momento en que se forman los folículos pilosos (con una comparativa de patrones de remolinos en fetos normales y en fetos malformados a la que no hemos tenido acceso).
Según los estudios del genetista Amae Klar, existe una clara conexión entre la dirección de nuestros remolinos capilares y que seamos diestros o zurdos. Al menos el 90% de los diestros tenían remolinos que giraban en la dirección de las agujas del reloj, mientras que sólo un 10% contaba con la tendencia contraria. De hecho, descubrió que posiblemente de la misma forma que la genética determina que seamos diestros o zurdos, también determinará la dirección de nuestros remolinos, ya que un 50% de las personas zurdas o ambidiestras tenían remolinos en la dirección contraria a las agujas del reloj. Y es que cuando el feto se va formando, el cerebro se forma al mismo tiempo que la piel y el pelo, y tanto el cuero cabelludo como el espacio de la membrana del cerebro proceden de la misma estructura embriológica.
Según los estudios del genetista Amae Klar, existe una clara conexión entre la dirección de nuestros remolinos capilares y que seamos diestros o zurdos. Al menos el 90% de los diestros tenían remolinos que giraban en la dirección de las agujas del reloj, mientras que sólo un 10% contaba con la tendencia contraria. De hecho, descubrió que posiblemente de la misma forma que la genética determina que seamos diestros o zurdos, también determinará la dirección de nuestros remolinos, ya que un 50% de las personas zurdas o ambidiestras tenían remolinos en la dirección contraria a las agujas del reloj. Y es que cuando el feto se va formando, el cerebro se forma al mismo tiempo que la piel y el pelo, y tanto el cuero cabelludo como el espacio de la membrana del cerebro proceden de la misma estructura embriológica.
También existen casos de dos remolinos, uno en sentido de las agujas del reloj y el otro va en sentido contrario. Esto en el área de la coronilla, pues el cuello y el flequillo son también áreas de turbulencias. En general pueden aparecer en cualquier área en que haya pelo.
El caso de doble remolino se ha estudiado científicamente como una alteración de las estructuras ante agresiones producidas durante la embriogénesis sobre la lámina ectodérmica. Hasta el momento actual se han descrito múltiples asociaciones neurocutáneas, algunas de ellas catalogadas como síndromes o enfermedades, la mayoría determinadas genéticamente. En la revista digital de neurología neurología.com se plantean varios casos clínicos: Cinco pacientes varones con edades comprendidas entre 2 y 7 años, en los que encontraron un patrón común de desviación del desarrollo psicomotor y conductual consistente en un trastorno de hiperactividad e impulsividad asociado a un retraso en la adquisición del lenguaje. Todos ellos tenían en común tanto la implantación del cabello en doble remolino, como la dilatación de los espacios de Virchow-Robin (en las fotos junto a los dobles remolinos) en el estudio de neuroimagen.
Otros piensan que el gen encargado de la orientación capilar parece tener la capacidad de eliminar ciertos tipos de cáncer, por lo que poseer un remolino en el pelo puede acabar siendo una auténtica ventaja evolutiva. Desde que el gran biólogo español Antonio García Bullido y su pupilo británico, David Gubb, desentrañaron el código genético de la mosca del vinagre, se descubrió que los genes de polaridad son una especie de brújula para las células de nuestro cuerpo, ya que son los encargados de organizar la orientación del crecimiento de los tejidos. Los genes de polaridad son útiles para una variedad de cosas diferentes en el cuerpo humano. Ayudan en el flujo y la distribución de nutrientes entre las células, así como dictan dónde se encuentran la parte delantera y trasera de las células. En resumen, los genes de polaridad son vitales para la correcta operación celular. Sin embargo, un efecto secundario de estos genes de polaridad es la tendencia de las estructuras corporales a crecer en patrones opuestos, lo que conduce a cosas como los mechones. Entre otras cosas, se cree los genes de polaridad son responsables del crecimiento de los remolinos en el pelo, y la predominancia de un hemisferio cerebral sobre el otro (ser diestro o zurdo). El caso de doble remolino se ha estudiado científicamente como una alteración de las estructuras ante agresiones producidas durante la embriogénesis sobre la lámina ectodérmica. Hasta el momento actual se han descrito múltiples asociaciones neurocutáneas, algunas de ellas catalogadas como síndromes o enfermedades, la mayoría determinadas genéticamente. En la revista digital de neurología neurología.com se plantean varios casos clínicos: Cinco pacientes varones con edades comprendidas entre 2 y 7 años, en los que encontraron un patrón común de desviación del desarrollo psicomotor y conductual consistente en un trastorno de hiperactividad e impulsividad asociado a un retraso en la adquisición del lenguaje. Todos ellos tenían en común tanto la implantación del cabello en doble remolino, como la dilatación de los espacios de Virchow-Robin (en las fotos junto a los dobles remolinos) en el estudio de neuroimagen.
Ahora, investigadores de la Universidad Estatal de Michigan también han descubierto que la proteína responsable de su manifestación es capaz de impedir la formación de ciertos tipos de tumores, como el retinoblastoma. Lo que significa que tener remolinos es un indicador de que esta proteína se encuentra presente en nuestro cuerpo, lo que nos hace menos propensos a sufrir retinoblastomas. Los investigadores de MSU llegaron a esta conclusión experimentando con moscas de la fruta. Cuando eliminaron la proteína de las moscas, descubrieron que su cabello perdió cualquier señal de remolinos (fotos de la derecha), lo que les hizo creer que la misma proteína que gobierna los genes de la polaridad también puede ser responsable de ellos. De ser así, los científicos podrían desarrollar un nuevo tipo de quimioterapia que se centre en restaurar esta proteína en los pacientes.
lunes, 4 de junio de 2018
radiolarios

Además de ser un extraño animal, el radiolario es una broma de la familia por parte de madre. La broma viene de la inutilidad del uso del diccionario que había en casa, heredado del abuelo Juan, para intentar saber en qué consiste este animal y qué apariencia tiene. Era una definición que ya todos nos la sabíamos de memoria por lo estrafalaria e inútil que resultaba: animal protozoario rizópodo cuyo protoplasma periférico emite pseudópodos radiales. Yo siempre me he imaginado un erizo de mar del tamaño de un paramecio. La Wikipedia nos dice que los radiolarios (Radiolaria o Radiozoa) son un grupo de protistas ameboides que producen intrincados esqueletos minerales (casi siempre de sílice), que se encuentran como zooplancton en el océano. Y que producen un esqueleto que puede tener una estructura muy elaborada y de gran belleza, con una apariencia opalina. Del cuerpo de la célula salen numerosas proyecciones denominadas "axopodios" que le dan una apariencia radiada y le sirven al organismo para el movimiento y para capturar pequeñas presas. Comprenden actualmente unas 1000 especies vivas. No nos saca mucho de dudas, solo que nos añade la imagen de una costra opalina formada por esqueletos microscópicos en el fondo de los mares.
Estos axopodios en su versión familiar fueron el origen del grupo musical creado por los hermanos pequeños para amenizar las fiestas familiares y que se llamó Los Pseudópodos Radiales. Una vez desintegrado el grupo, Pablo, el batería, formó un nuevo grupo de corte pop, que se llamó Los Pseudópodos, que más tarde derivarían a una música más melódica e íntima, lo que hizo necesario un cambio de nombre: Falsos pies. Sacaron un disco de vinilo en 1987 con cuatro canciones titulado Días y días, cuya carátula diseñé.
La repentina muerte de su mujer con solo 29 años, año y medio después de su boda, sumergió a Haeckel, formado en la era romántica, en un abismo del que solo pudo salir gracias a las medusas. En sus formas etéreas vislumbró un reflejo de su gran amor Anna Sethe. Un día dio un paseo en Niza y vio una medusa en un estanque de rocas: Disfruté varias horas felices viendo el juego de sus tentáculos que cuelgan como adornos de cabello rubio desde el borde de la delicada gorra de paraguas y que con el movimiento más suave enrollarse en gruesas espirales cortas. Hizo un boceto y nombró a la especie Mitrocoma Annae (la diadema de Anna, su mujer). Un año después de completar el libro de medusas, un poderoso trabajo en dos volúmenes que describe 600 especies, Haeckel hizo construir una casa en Jena. Lo llamó Villa Medusa y decoró los techos con frescos de medusas que más tarde aparecerían como litografías en su clásico libro Art Forms in Nature (1899-1904).
Etiquetas:
Album familiar,
Animales,
Ciencia,
Familia,
Historias,
Ilustradores
Suscribirse a:
Entradas (Atom)





















































